Aşındırmasız Porselen Veneerlar Aşındırmasız estetik diş hekimliğine bir bakış Dişe görünümünü değiştirmek için materyaller ekleme olgusu, diş hekimliğinin …
Aşındırmasız Porselen Veneerlar Aşındırmasız estetik diş hekimliğine bir bakış Dişe görünümünü değiştirmek için materyaller ekleme olgusu, diş hekimliğinin …
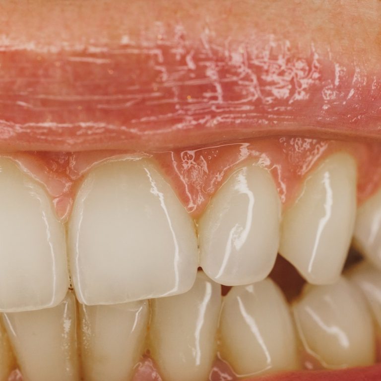
Hazırlık Gerektirmeyen Porselen Kaplamalar Her gün daha çok sayıda insan, lamine diş kaplamaların yarattığı büyük farklılıkları keşfediyor. Lamine kaplamalar …
İnsanların içinde var olan güzel olma duygusu, beğenilmek ve fiziksel görünümü ile kabul görmek arzusu mevcut kozmetik ve …