Hazırlık Gerektirmeyen Porselen Kaplamalar Her gün daha çok sayıda insan, lamine diş kaplamaların yarattığı büyük farklılıkları keşfediyor. Lamine kaplamalar dişlerin rengini, şeklini ve genel görünümünü iyileştirmekte ve lekeler, boşluklar ve düzensizlikler gibi kozmetik sorunlara çare olmaktadır. Klasik kaplama yerleştirme yönteminde dişlerin nispeten kapsamlı bir hazırlık süreci ve çoğu zaman önemli miktarda diş yapısının çıkarılması vardır. Ama …
Hazırlık Gerektirmeyen Porselen Kaplamalar
Her gün daha çok sayıda insan, lamine diş kaplamaların yarattığı büyük farklılıkları keşfediyor. Lamine kaplamalar dişlerin rengini, şeklini ve genel görünümünü iyileştirmekte ve lekeler, boşluklar ve düzensizlikler gibi kozmetik sorunlara çare olmaktadır. Klasik kaplama yerleştirme yönteminde dişlerin nispeten kapsamlı bir hazırlık süreci ve çoğu zaman önemli miktarda diş yapısının çıkarılması vardır. Ama günümüzde, hazırlık gerektirmeyen lamine kaplamalar, aynı faydaların pek çoğunu çok az diş hazırlığı ile veya hazırlıksız olmadan gerçekleştirebilmektedir.
Lamine Kaplama Nedir?
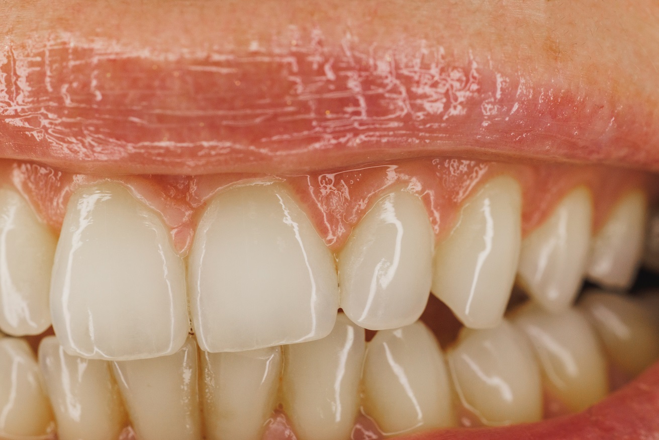
Lamine kaplamalar, porselen veya komposit materyallerden yapılmış oldukça ince katmanlardır. Yarısaydam ve gerçekçi olmasına rağmen dişinizin ön kısmına eklemlenip burada gülüşünüzün şeklini gözle görünür şekilde değiştirirler. Genelde 1 mm veya daha ince yapıda olmalarına rağmen dişe hacim katarlar ve bu durum kimi zamanlarda doğal olmayan bir his veya görünüme neden olabilmektedir. Bu nedenle kaplamalar için alan yaratma adına, dişin minesinin (sert mineralize olmuş yüzey) bir kısmının çıkarılarak hazırlanması gerekliydi. Rutin bir prosedür olmasına, hastanın rahatı adına anestezi kullanılmasına rağmen, bazı insanlar bu tarz bir diş tedavisine yanaşmıyordu. Ayrıca, diş enamelinin çıkarılması, klasik kaplamalara sahip olmayı geri dönüşü olmayan bir işlem haline getiriyordu: Bir kez yaptırdığınız vakit geri dönüş yoktu.
Hazırlıksız ve Asgari Hazırlıklı Seçenekler
‘Hazırlıksız’ isminden de anlaşılacağı gibi dişlere neredeyse hiç dokunulmaması ve kaplamaların bunlara bağlanmasıdır. Daha yaygın bir işlem olan, asgari hazırlık ise dişlerin doğal ve görsel olarak çekici olmasını sağlama adına, az miktarda yeniden şekillendirilmesini içerir. Bu işlemde, , diş minesini yeniden şekillendirmek ve dişlerinizin düz tarafını şekillendirmek için abrazif/aşındırıcı bir araçtan faydalanır. Daha sonra, kontakt lens inceliğindeki lamine kaplamalar dişeti çizgisinin altına geçmeden diş üzerine yerleştirilir.
Diş hekiminiz muayene sonrası size hazırlıksız veya asgari hazırlıklı kaplamalardan hangisinin uygun olduğunu söyleyecektir.
Lamine diş kaplamaları en çok şu kişiler için uygundur:
- Küçük dişlere sahip veya büyük dudaklı oldukları için veya diğer nedenlerle dişleri olduğundan daha küçük görünenler.
- Gülüş esnasında kenardaki dişlerin önden gözükmediği dar bir gülüşe sahip olanlar.
- Hafif lekeli veya şekli bozuk dişlere sahip kişiler, (mesela küçük olan ve kanca şekilli kalıcı dişler)
Hazırlık Gerektirmeyen Lamine Kaplamaların Yerleştirilmesi
Eğer diş mineniz iyi durumdaysa, hazırlıksız veya asgari hazırlıklı lamine kaplamalar doğrudan bağlanabilmektedir. İşlem asgari düzeyde invaziftir, diş hassasiyetine yol açmaz ve anestezi gerekmez. Rahatınız için geçici restorasyonların kullanılması gerekli olmasa da genellikle nihai restorasyonlar sonrası sonucun estetik olarak nasıl gözükeceğini gösterme amacıyla bunlar kullanılmaktadır. Tüm işlem, ilk muayeneden izlenim alınmasına ve nihai kaplamaya kadar birkaç randevuda gerçekleştirilebilmektedir.
Daha az invazif olmasının yanında, bu prosedürde geri dönüş de mümkündür çünkü asıl diş bozulmamış olarak kalır. Fakat kaplamalar diş minesi ile güçlü bir bağ oluşturduğundan bunların çıkarılması her zaman kolay olmamaktadır.
Daha Fazla Hazırlık Gerektiğinde
Günümüzde aşırı derecede ince porselenlerin varlığı ile birlikte (0,3-0,5 mm kalınlığında) pahalı diş hazırlıklarından kaçınmak çoğu zaman mümkündür. Fakat yine de diş minesinin çıkarılmasının kaçınılmaz olduğu durumlar vardır.
Eğer kişinin normalden büyük ve ileri uzanan dişleri varsa, en ince kaplama bile kaba bir görünüme neden olmadan eklenememektedir. Bu durumlarda, minenin kısmen çıkarılması gerekir. Malöklüzyon (kötü ısırık/kapanma) gibi daha geniş kapsamlı diş sorunları, çoğu zaman daha çok hazırlık gerektirir ve bazı durumlarda diş teli gibi ortodontik çalışmalar daha iyi bir çözüm olabilmektedir. Fakat çoğu durumda, hazırlık gerektirmeyen lamine kaplamalar asgari sürelerde gülüşünüzü gözle görülür şekilde iyileştirir.
Kaplamalarınızın uzun vadeli başarısı için, beklenti ve hedefleriniz konusunda net olmalısınız. Örneğin, bazı kişiler önemli miktarda renk ve şekil değişikliği talep ederler ve bu kişiler için asgari düzeyde invazif olacak bir teknik işe yaramayabilir. , sizin için en uygun seçeneği önermeden önce ağız sağlığınızı, mevcut gülümsemenizi, hedef ve beklentilerinizi göz önünde bulundurmalıdır.





